Doctor Online

Understanding adult t-cell leukemia/lymphoma causes

2025-09-12

Adult T-cell Leukemia/Lymphoma is a rare blood cancer affecting T-cells. Early detection and proper treatment are crucial for improving patient outcomes and quality of life.

What are the main causes of Adult T-cell Leukemia/Lymphoma?

  • Infection with the human T-cell lymphotropic virus type 1 (HTLV-1) is the primary risk factor leading to Adult T-cell Leukemia/Lymphoma in susceptible individuals.
  • Genetic mutations in T-cells can trigger uncontrolled cell growth, contributing to the development and progression of Adult T-cell Leukemia/Lymphoma.
  • Long-term exposure to environmental toxins and immunosuppressive conditions may increase the likelihood of developing Adult T-cell Leukemia/Lymphoma

Key symptoms of Adult T-cell Leukemia/Lymphoma to watch for

  • Persistent swollen lymph nodes in the neck, armpits, or groin are common early indicators of Adult T-cell Leukemia/Lymphoma.
  • Unexplained fatigue, fever, and weight loss may signal the presence of Adult T-cell Leukemia/Lymphoma and require prompt medical attention.
  • Skin abnormalities, including rashes or lesions, often appear in individuals affected by Adult T-cell Leukemia/Lymphoma.
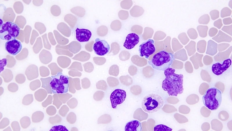
Adult T-cell Leukemia/Lymphoma linked to HTLV-1 infection
Adult T-cell Leukemia/Lymphoma linked to HTLV-1 infection

>>>Refer to this immediately: Understanding liver cancer (hepatocellular carcinoma) risks

How can you prevent Adult T-cell Leukemia/Lymphoma effectively?

  • Avoiding HTLV-1 infection through safe sexual practices and careful blood handling reduces the risk of Adult T-cell Leukemia/Lymphoma.
  • Regular medical screenings and early detection of abnormal T-cell activity can help prevent severe complications of Adult T-cell Leukemia/Lymphoma.
  • Maintaining a healthy immune system through balanced nutrition and minimizing exposure to toxins supports prevention of Adult T-cell Leukemia/Lymphoma.

>>>Refer to this immediately: Cervical cancer symptoms every woman should never ignore

Image description of Adult T-cell Leukemia/Lymphoma

Adult T-cell Leukemia/Lymphoma is a rare cancer affecting T-lymphocytes, a type of white blood cell. It often develops slowly and can cause swollen lymph nodes, skin lesions, and fatigue.

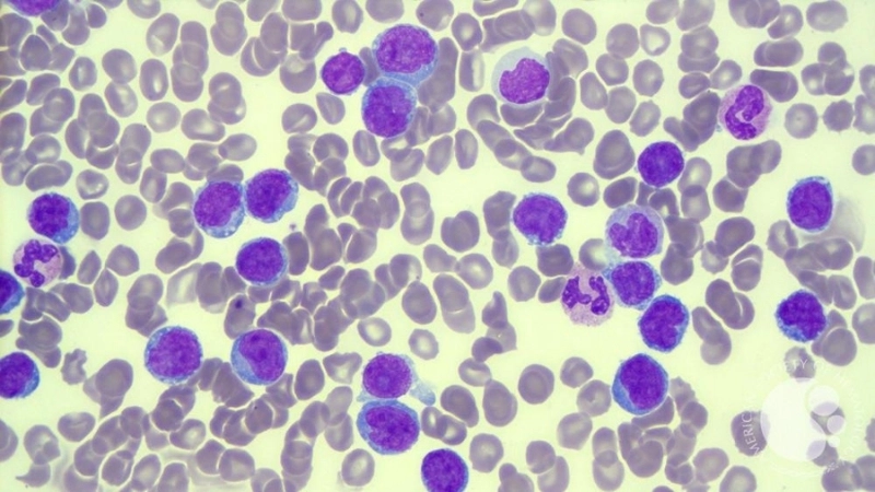
Adult T-cell Leukemia/Lymphoma seen in adult T-cell leukemia
Adult T-cell Leukemia/Lymphoma seen in adult T-cell leukemia
Adult T-cell Leukemia/Lymphoma confirmed with ATL diagnosis
Adult T-cell Leukemia/Lymphoma confirmed with ATL diagnosis
Adult T-cell Leukemia/Lymphoma managed with ATL treatment
Adult T-cell Leukemia/Lymphoma managed with ATL treatment
Adult T-cell Leukemia/Lymphoma differs from cutaneous T-cell lymphoma
Adult T-cell Leukemia/Lymphoma differs from cutaneous T-cell lymphoma
Adult T-cell Leukemia/Lymphoma classified as leukemia lymphoma
Adult T-cell Leukemia/Lymphoma classified as leukemia lymphoma
Adult T-cell Leukemia/Lymphoma is a rare T-cell malignancy
Adult T-cell Leukemia/Lymphoma is a rare T-cell malignancy
Adult T-cell Leukemia/Lymphoma among HTLV-1 associated diseases
Adult T-cell Leukemia/Lymphoma among HTLV-1 associated diseases
Adult T-cell Leukemia/Lymphoma divided into ATL subtypes
Adult T-cell Leukemia/Lymphoma divided into ATL subtypes

>>>Refer to this immediately: Understanding nasopharyngeal carcinoma causes and risks

Understanding Adult T-cell Leukemia/Lymphoma empowers patients and caregivers. Staying informed, seeking medical guidance, and accessing support resources can improve treatment success.