Doctor Online

Understanding burkitt's lymphoma symptoms and causes

2025-09-12

Burkitt's Lymphoma is a rare and aggressive cancer that affects the lymphatic system. Early detection and proper treatment are crucial for improving survival and quality of life.

What are the main causes of Burkitt's Lymphoma?

  • Genetic mutations in immune system cells can trigger the uncontrolled growth of B-lymphocytes, leading to Burkitt's Lymphoma.
  • Infection with Epstein-Barr virus (EBV) increases the risk of developing Burkitt's Lymphoma, especially in regions with high malaria prevalence.
  • Immune suppression due to HIV/AIDS or post-transplant medications can contribute to the onset of this aggressive lymphoma.

Key symptoms of Burkitt's Lymphoma to watch for

  • Rapidly growing swelling in the jaw, face, or abdomen may indicate Burkitt's Lymphoma and requires immediate medical evaluation.
  • Unexplained fevers, night sweats, and significant weight loss are common systemic symptoms associated with Burkitt's Lymphoma.
  • Fatigue, weakness, and easy bruising often occur as the lymphoma affects blood cells and immune function in the body.
Burkitt's Lymphoma symptoms show fast
Burkitt's Lymphoma symptoms show fast

>>>Explore now: Understanding sindbis fever symptoms and early warning signs

How can you prevent Burkitt's Lymphoma effectively?

  • Regular medical checkups and early testing for high-risk individuals can help detect Burkitt's Lymphoma before it progresses.
  • Preventing and treating viral infections such as EBV through hygiene and vaccinations can reduce the risk of developing Burkitt's Lymphoma.
  • Maintaining a healthy immune system with proper nutrition, exercise, and management of chronic conditions supports overall protection against lymphoma.

>>>Explore now: Understanding Murray Valley Encephalitis symptoms and risks

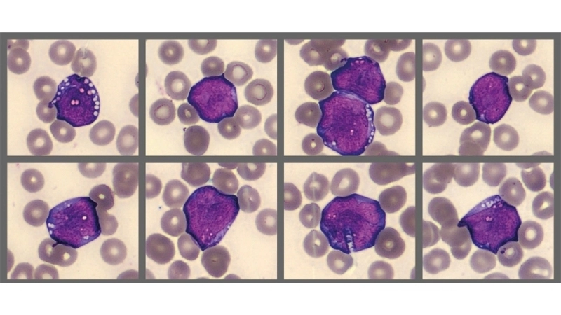
Image description of Burkitt's Lymphoma

Burkitt's Lymphoma is a fast-growing cancer of the lymphatic system, often affecting children and adults in specific regions. It causes swelling in lymph nodes, rapid tumor growth, and systemic symptoms like fever and fatigue. Early diagnosis and treatment significantly improve patient outcomes.

Burkitt's Lymphoma symptoms guide clear
Burkitt's Lymphoma symptoms guide clear
Burkitt's Lymphoma treatment insights
Burkitt's Lymphoma treatment insights
Burkitt's Lymphoma causes explained
Burkitt's Lymphoma causes explained
Burkitt's Lymphoma prognosis overview
Burkitt's Lymphoma prognosis overview
Burkitt's Lymphoma stages simplified
Burkitt's Lymphoma stages simplified
Endemic Burkitt's Lymphoma details
Endemic Burkitt's Lymphoma details
Sporadic Burkitt's Lymphoma facts
Sporadic Burkitt's Lymphoma facts
Immunodeficiency Burkitt's Lymphoma focus
Immunodeficiency Burkitt's Lymphoma focus

>>>Explore now: Understanding Barmah Forest Virus Disease symptoms today

Understanding Burkitt's Lymphoma empowers patients and families to seek timely medical care. With awareness, treatment options, and support, outcomes can be significantly improved.