Doctor Online

What you need to know about congenital cytomegalovirus

Most people have had CMV and never knew it. But for some, this common virus can be serious. This guide provides essential facts about Cytomegalovirus infection, empowering you with the knowledge to protect yourself and your family, especially during critical life stages. 

What are the main causes of Cytomegalovirus Infection?

  • What is Cytomegalovirus? It is a common virus in the herpes family that infects people of all ages and typically remains dormant in the body for life.
  • How is CMV transmitted? The virus spreads through direct contact with infected bodily fluids, such as saliva, urine, blood, tears, semen, and breast milk.
  • Yes, CMV is contagious, and transmission often occurs through close personal contact like kissing, sexual contact, or sharing utensils with someone actively shedding the virus.
Identifying cytomegalovirus symptoms in adults
Identifying cytomegalovirus symptoms in adults

Key symptoms of Cytomegalovirus Infection to watch for

  • Most healthy adults show few cytomegalovirus symptoms, but some may experience fatigue, fever, sore throat, and muscle aches, similar to mononucleosis.
  • In some cases, an active infection might cause a skin rash, which can be a visible sign of the body fighting off the virus.
  • A primary concern is CMV infection in pregnancy, as an active infection can be passed to the fetus, potentially causing serious health issues after birth.

How can you prevent Cytomegalovirus Infection effectively?

  • Prevention primarily involves practicing good hygiene, such as frequent handwashing with soap and water, especially after contact with diapers or saliva from young children.
  • Avoid sharing food, drinks, or utensils with others, and avoid contact with saliva when kissing a child to reduce your risk of exposure.
  • Expectant mothers can discuss CMV testing for pregnancy with their doctor to understand their status and learn specific ways to minimize their transmission risk.

>>> Don't miss: Coxsackievirus - The cause of hand, foot, and mouth disease

Image of the disease Cytomegalovirus Infection

Is CMV contagious? Understanding routes of transmission
Is CMV contagious? Understanding routes of transmission
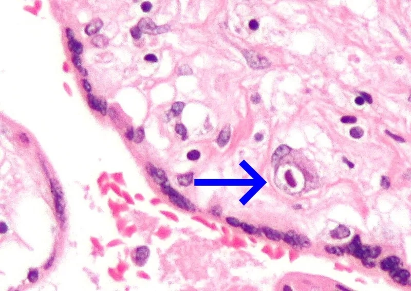
A microscopic view explaining what is cytomegalovirus
A microscopic view explaining what is cytomegalovirus
Antiviral medication as a treatment for CMV infection
Antiviral medication as a treatment for CMV infection
Congenital cytomegalovirus long term effects in children
Congenital cytomegalovirus long term effects in children
Managing a CMV infection in pregnancy with a doctor
Managing a CMV infection in pregnancy with a doctor
Clinical examples shown in CMV rash pictures
Clinical examples shown in CMV rash pictures

>>> Read more here: C. difficile infection - A guide to causes and treatment

While there is no cure, antiviral medication is a treatment for CMV infection in those with weakened immune systems. Understanding your risk is key to living with cytomegalovirus. If you are pregnant or immunocompromised, speak with your provider about prevention and potential congenital cytomegalovirus long term effects.

>>> Don't miss: Bacterial vaginosis - A guide to symptoms, causes, and treatment