Doctor Online

Understanding Infectious Mononucleosis (Glandular Fever)

2025-09-11

Infectious Mononucleosis (Glandular Fever) is a contagious viral infection that affects the lymph nodes and throat. Learn key symptoms, causes, and prevention tips to stay healthy.

What are the main causes of Infectious Mononucleosis (Glandular Fever)?

  • The Epstein-Barr virus (EBV) is the primary cause, spreading through saliva and close personal contact such as kissing or sharing utensils.
  • A weakened immune system increases susceptibility, allowing EBV to trigger the infection more easily in adolescents and young adults.
  • Rarely, blood transfusions or organ transplants from infected donors can transmit the virus, though this is an uncommon cause of the disease.

Key symptoms of Infectious Mononucleosis (Glandular Fever) to watch for

  • Persistent fatigue lasting several weeks, often accompanied by general weakness and reduced ability to perform daily activities.
  • Swollen lymph nodes, especially in the neck and armpits, often accompanied by mild fever and throat discomfort.
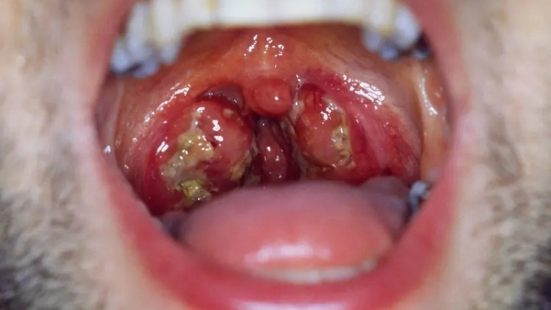
  • Sore throat with white patches on the tonsils, occasionally causing difficulty swallowing and tender throat glands.
Infectious Mononucleosis Glandular Fever symptoms guide
Infectious Mononucleosis Glandular Fever symptoms guide

>>>Explore further: Understanding Hepatitis E and its common symptoms today

How can you prevent Infectious Mononucleosis (Glandular Fever) effectively?

  • Avoid sharing utensils, drinks, or personal items with infected individuals to reduce saliva-based transmission.
  • Practice good hand hygiene, washing hands regularly with soap and water to limit viral spread.
  • Maintain a strong immune system through balanced nutrition, adequate sleep, and regular physical activity.

>>>Explore further: Understanding sapovirus infection and its common symptoms

Image description of Infectious Mononucleosis (Glandular Fever)

Infectious Mononucleosis, also called glandular fever, is a contagious viral infection primarily caused by the Epstein-Barr virus. It often leads to fatigue, sore throat, and swollen lymph nodes, especially in adolescents and young adults.

Infectious Mononucleosis mono symptoms explained
Infectious Mononucleosis mono symptoms explained
Infectious Mononucleosis linked to epstein-barr virus
Infectious Mononucleosis linked to epstein-barr virus
Infectious Mononucleosis called kissing disease widely
Infectious Mononucleosis called kissing disease widely
Infectious Mononucleosis mono treatment options shared
Infectious Mononucleosis mono treatment options shared
Infectious Mononucleosis glandular fever treatment tips
Infectious Mononucleosis glandular fever treatment tips
Infectious Mononucleosis how mononucleosis contagious spreads
Infectious Mononucleosis how mononucleosis contagious spreads
Infectious Mononucleosis signs of glandular fever rash
Infectious Mononucleosis signs of glandular fever rash

>>>Explore further: Understanding astrovirus infection symptoms and prevention

Proper care and awareness of Infectious Mononucleosis (Glandular Fever) can help manage symptoms and prevent complications. Stay informed and consult a doctor for best results.