Kaposi's Sarcoma is a rare cancer affecting the skin, mouth, and organs. Understanding its causes, symptoms, and treatments is vital for early detection and effective management.
What are the main causes of Kaposi's Sarcoma?
- Kaposi's Sarcoma is primarily caused by infection with human herpesvirus 8, which triggers abnormal growth of blood vessel cells in the skin and organs.
- A weakened immune system, such as in HIV/AIDS patients, significantly increases the risk of developing Kaposi's Sarcoma.
- Certain genetic factors and chronic inflammation may also contribute to susceptibility, making some individuals more prone to this type of cancer.
Key symptoms of Kaposi's Sarcoma to watch for
- Purplish, red, or brown patches on the skin are the most common visible symptom of Kaposi's Sarcoma, often appearing on the legs or face.
- Swelling in the legs, ankles, or lymph nodes can occur as tumors affect blood flow and lymphatic drainage, causing noticeable discomfort.
- Lesions in internal organs, such as the lungs or digestive tract, may lead to cough, abdominal pain, or gastrointestinal bleeding.
>>>Explore now: Warts (Common, Plantar, Genital) causes and treatments
How can you prevent Kaposi's Sarcoma effectively?
- Maintaining a strong immune system through HIV treatment and regular medical checkups is essential to reduce the risk of Kaposi's Sarcoma.
- Avoiding exposure to human herpesvirus 8 by practicing safe sexual behaviors and avoiding contact with infected blood or saliva can help prevention.
- Regular skin examinations and early medical consultation for any suspicious lesions enable timely detection and treatment, minimizing complications.
>>>Explore now: Understanding molluscum contagiosum causes and symptoms
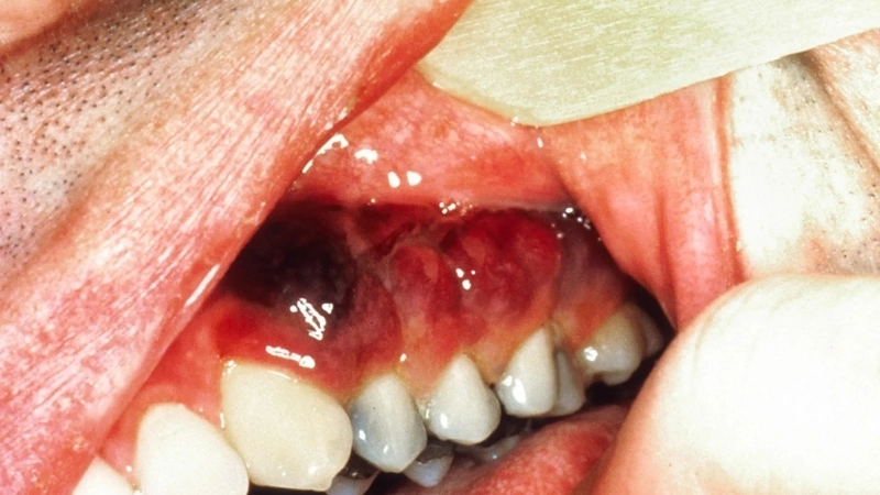
Image description of Kaposi's Sarcoma
Kaposi's Sarcoma is a rare cancer caused by human herpesvirus 8, primarily affecting skin, lymph nodes, and internal organs. It often presents as purplish lesions or swelling and is more common in individuals with weakened immune systems.
>>>Explore now: Understanding roseola infantum symptoms and treatments
Early diagnosis and proper treatment are key to managing Kaposi's Sarcoma. Stay informed about symptoms, prevention, and medical options to improve outcomes and quality of life.