Doctor Online

Pneumocystis pneumonia (PCP) in HIV/AIDS patients

For those with weakened immune systems, understanding Pneumocystis Pneumonia (PCP) is not just important—it's critical. Missing the early signs can have severe consequences. This guide provides the essential knowledge you need to stay informed and protected.

What are the main causes of Pneumocystis Pneumonia?

  • This type of fungal pneumonia is caused by the microscopic fungus Pneumocystis jirovecii, which is common in the environment but rarely causes illness.
  • The primary risk factor for PCP is a severely weakened immune system, making it a major concern for immunocompromised patients, including those with cancer.
  • It is particularly prevalent in people with advanced HIV/AIDS, as the virus significantly damages the body's ability to fight off opportunistic infections.
Recognizing Pneumocystis pneumonia (PCP) symptoms
Recognizing Pneumocystis pneumonia (PCP) symptoms

Key symptoms of Pneumocystis Pneumonia to watch for

  • Common pneumocystis pneumonia (PCP) symptoms include a persistent dry cough, shortness of breath that worsens with activity, and a high fever.
  • A significant sign is experiencing dangerously low oxygen levels in the blood, which often requires immediate medical attention and hospitalization for the patient.
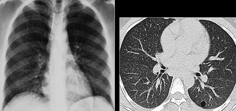
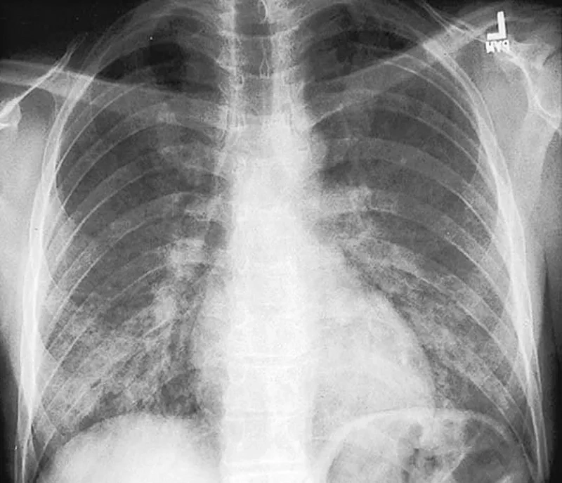
  • A diagnosis of PCP often involves a chest x-ray, which typically shows diffuse bilateral infiltrates, a key indicator for healthcare providers.

How can you prevent Pneumocystis Pneumonia effectively?

  • The most effective prevention of PCP involves taking prescribed medication, known as PCP prophylaxis, if you are in a high-risk group.
  • Doctors often prescribe Bactrim (TMP-SMX) as the first-line drug for both PCP treatment and prevention in at-risk individuals with compromised immunity.
  • Adhering to your primary medical treatment, such as antiretroviral therapy for HIV, is crucial for strengthening the immune system against this infection.

>>> Discover more: Athlete's foot - Effective treatments for this fungal infection

Image of the disease Pneumocystis Pneumonia

Steps in the clinical diagnosis of PCP
Steps in the clinical diagnosis of PCP
Bactrim (TMP-SMX) as a primary medication
Bactrim (TMP-SMX) as a primary medication
The importance of PCP prophylaxis for at-risk groups
The importance of PCP prophylaxis for at-risk groups
Overview of effective PCP treatment options
Overview of effective PCP treatment options
The impact of PCP in HIV/AIDS patients
The impact of PCP in HIV/AIDS patients
A microscopic view of Pneumocystis jirovecii
A microscopic view of Pneumocystis jirovecii
Explaining what is Pneumocystis pneumonia
Explaining what is Pneumocystis pneumonia

>>> Learn now: Cryptococcosis - A serious fungal infection of the lungs

Early diagnosis and treatment are vital for a positive outcome with Pneumocystis Pneumonia. If you are immunocompromised and experience these symptoms, contact your doctor immediately for assessment.

>>> Related articles: Paracoccidioidomycosis - A systemic fungal infection