Doctor Online

Pulmonary embolism - A guide to symptoms and treatment

2025-09-16

Recognizing a pulmonary embolism can save a life. This medical emergency requires immediate attention, and knowing the subtle signs is critical. Don't dismiss the symptoms; understanding this condition is your best defense against a fatal outcome.

What are the main causes of Pulmonary Embolism?

  • One of the main causes of pulmonary embolism is a blood clot from a deep vein thrombosis (DVT) in the leg that breaks free.
  • This dislodged clot travels through the bloodstream to the lungs, where it becomes stuck in an artery, blocking vital blood flow to lung tissue.
  • Less commonly, blockages can be caused by air bubbles, fat from a major broken bone, or parts of a tumor that travel to the lungs.
A person showing sudden pulmonary embolism symptoms
A person showing sudden pulmonary embolism symptoms

Key symptoms of Pulmonary Embolism to watch for

  • The most common pulmonary embolism symptoms include sudden, unexplained shortness of breath, which may worsen with exertion, and sharp chest pain like a heart attack.
  • Other key signs of pulmonary embolism can include a rapid or irregular heartbeat, a cough that may produce bloody sputum, and lightheadedness or fainting.
  • Since many cases start as DVT, also watch for symptoms in the leg, such as swelling, pain, tenderness, warmth, or reddish discoloration.

How can you prevent Pulmonary Embolism effectively?

  • Prevention primarily focuses on stopping DVT by moving frequently, especially during long periods of travel or bed rest, to encourage continuous blood flow.
  • Managing risk factors for PE is key, including maintaining a healthy weight, quitting smoking, and discussing preventative measures with your doctor before and after surgery.
  • For high-risk individuals, doctors may prescribe blood thinners (anticoagulants) or use compression stockings to help prevent dangerous blood clots from forming in the legs.

>>> Don't miss: Cardiomyopathy – types, symptoms and care

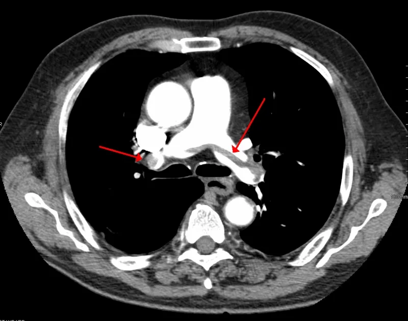
Image of a Pulmonary Embolism in the Lungs

A CT scan for a definitive pulmonary embolism diagnosis
A CT scan for a definitive pulmonary embolism diagnosis
A graph showing the latest PE survival rate data
A graph showing the latest PE survival rate data
An infographic explaining the causes of pulmonary embolism
An infographic explaining the causes of pulmonary embolism
A chart showing the critical signs of pulmonary embolism
A chart showing the critical signs of pulmonary embolism
A medical team discussing pulmonary embolism treatment
A medical team discussing pulmonary embolism treatment
An illustration of what is a pulmonary embolism in the lungs
An illustration of what is a pulmonary embolism in the lungs

>>> Learn now: Congenital heart disease – causes and treatment

The PE survival rate is high with prompt diagnosis and treatment. If you experience any symptoms, seek emergency medical care immediately. A swift response is crucial for managing the condition and planning your life after pulmonary embolism.

>>> See details: Deep vein thrombosis – signs, risks and care