Doctor Online

Who is at risk for strongyloidiasis hyperinfection syndrome?

A parasitic infection that can remain hidden for decades, strongyloidiasis poses a silent threat. Understanding how you get it and its subtle signs is crucial for early detection and avoiding severe complications. Get the essential facts to stay safe.

What are the main causes of Strongyloidiasis?

  • The primary cause is skin contact with soil or water contaminated with Strongyloides stercoralis larvae, often occurring when walking barefoot in endemic areas.
  • This roundworm infection begins when microscopic larvae penetrate the skin, travel through the bloodstream, and eventually settle in the small intestine to mature and reproduce.
  • Unlike many parasites, its life cycle allows for autoinfection, where new larvae can hatch inside the gut, leading to chronic infections lasting for years.
A medical chart explaining what is strongyloidiasis
A medical chart explaining what is strongyloidiasis

Key symptoms of Strongyloidiasis to watch for

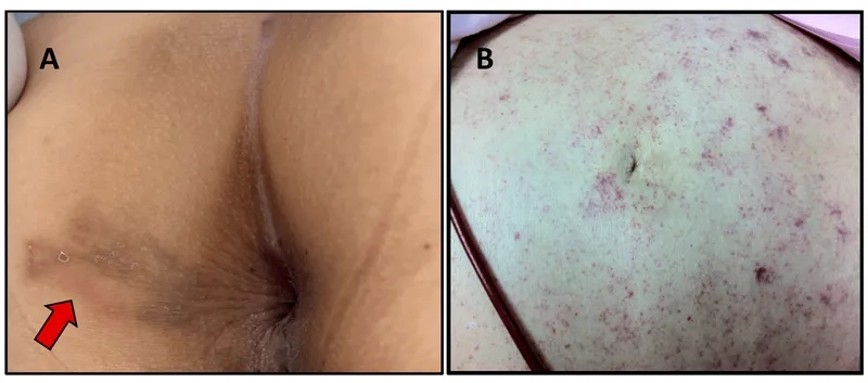
  • A fast-moving, linear, and intensely itchy rash known as cutaneous larva currens may appear, typically on the abdomen, buttocks, or groin as larvae migrate.
  • Many people experience persistent abdominal pain, bloating, intermittent diarrhea, and constipation, which can easily be mistaken for other common gastrointestinal disorders, delaying diagnosis.
  • During the larval migration phase through the lungs, some individuals may develop a dry cough, throat irritation, or shortness of breath, similar to asthma.

How can you prevent Strongyloidiasis effectively?

  • Always wear proper footwear, such as closed-toe shoes or sandals, when walking on soil or wet ground to prevent a parasite from walking barefoot.
  • Ensure the safe and sanitary disposal of human waste to prevent soil contamination and avoid using untreated human feces as fertilizer in gardens.
  • When gardening or working with soil in at-risk regions, use a waterproof mat or protective clothing to create a barrier between your skin and ground.

>>> Read more here: Paracoccidioidomycosis - A systemic fungal infection

What the symptoms of Strongyloidiasis look like

Medical chart showing hyperinfection syndrome progression
Medical chart showing hyperinfection syndrome progression
Lab procedures for the diagnosis of strongyloidiasis
Lab procedures for the diagnosis of strongyloidiasis
The role of ivermectin for strongyloidiasis treatment
The role of ivermectin for strongyloidiasis treatment
An overview of available strongyloidiasis treatment
An overview of available strongyloidiasis treatment
A visual guide to common strongyloidiasis symptoms
A visual guide to common strongyloidiasis symptoms
The impact of a chronic threadworm infection on the body
The impact of a chronic threadworm infection on the body
The roundworm Strongyloides stercoralis under a microscope
The roundworm Strongyloides stercoralis under a microscope

>>> Read more here: Ringworm - A fungal skin infection, not a worm

Strongyloidiasis is treatable with medications like ivermectin, but diagnosis is key. If you have symptoms and risk factors, see a doctor, as untreated infections can lead to a life-threatening hyperinfection syndrome in immunocompromised individuals. Early action is critical.

>>> See details: Rhinosporidiosis - A chronic fungal infection of the nose