Doctor Online

Uhl's anomaly symptoms clinical features and outcomes

Uhl's anomaly is a rare congenital condition of the heart where the right ventricle muscle is replaced by fibrous tissue, leading to severe complications.

What are the main causes of Uhl's anomaly?

  • Uhl’s anomaly is primarily a congenital defect where the right ventricular wall lacks normal muscle tissue, weakening heart function from birth.
  • Genetic predisposition may contribute, though exact hereditary factors remain unclear, making early detection in families with history essential.
  • Developmental abnormalities during fetal growth interrupt proper heart wall formation, leading to thinning and dysfunction of the right ventricle.
    Uhl's Anomaly symptoms warning signs of right heart failure
    Uhl's Anomaly symptoms warning signs of right heart failure

>>> Discover more: Understanding Double Outlet Right Ventricle (DORV) Symptoms

Key symptoms of Uhl's anomaly to watch for

  • Patients often develop shortness of breath and fatigue due to reduced pumping ability of the right ventricle.
  • Swelling of the legs, abdomen, or ankles may occur as heart failure progresses in individuals with Uhl’s anomaly.
  • Irregular heart rhythms and palpitations are common, sometimes leading to dangerous arrhythmias requiring urgent care.

How can you prevent Uhl's anomaly effectively?

  • As a congenital defect, it cannot be fully prevented, but prenatal care and monitoring during pregnancy may support healthier outcomes.
  • Genetic counseling helps families with cardiac history understand potential risks and prepare for early medical intervention.
  • Regular cardiac evaluations and imaging for at-risk individuals enable timely detection and management before severe complications arise.
    Uhl's Anomaly diagnosis accurate methods to detect disease
    Uhl's Anomaly diagnosis accurate methods to detect disease

>>> Discover more: Exploring Shone's Complex causes risks and outcomes

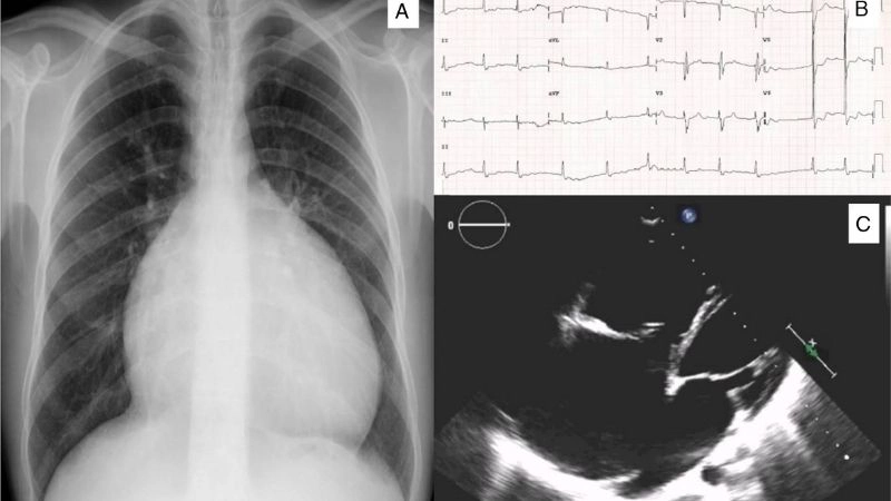
Images visual examples of Uhl's anomaly

Uhl’s anomaly is a rare congenital heart condition characterized by the near-complete absence of the right ventricular myocardium, resulting in a thin-walled and weakened heart chamber.

Uhl's Anomaly treatment medical and surgical interventions
Uhl's Anomaly treatment medical and surgical interventions
Uhl's Anomaly prognosis survival outcome depends on care
Uhl's Anomaly prognosis survival outcome depends on care
Uhl's Anomaly case report detailed documentation of rarity
Uhl's Anomaly case report detailed documentation of rarity
Congenital heart defect Uhl's Anomaly serious birth condition
Congenital heart defect Uhl's Anomaly serious birth condition
Uhl's Anomaly in infants early signs of congenital disorder
Uhl's Anomaly in infants early signs of congenital disorder
Uhl's Anomaly heart transplant lifesaving option for patients
Uhl's Anomaly heart transplant lifesaving option for patients
Uhl's Anomaly and right ventricular failure severe condition
Uhl's Anomaly and right ventricular failure severe condition

>>> Discover more: Cor Triatriatum causes symptoms diagnosis and treatment

Understanding Uhl's anomaly is vital for early diagnosis and treatment, helping patients manage risks, improve quality of life, and prevent complications.