Doctor Online

Blastomycosis symptoms and early warning signs

Understanding this rare but serious fungal infection is your first line of defense. Don't overlook subtle signs—knowing the causes and symptoms of blastomycosis can protect your health and lead to timely, effective treatment, preventing severe complications before they start.

What are the main causes of Blastomycosis?

  • The infection starts by inhaling microscopic spores of the Blastomyces fungus, which thrives in moist soil and decaying organic matter like wood and leaves.
  • This fungus is commonly found in specific regions, particularly the Midwestern, south-central, and southeastern United States, and parts of Canada near the Great Lakes.
  • Activities that disturb contaminated soil, such as farming, construction, forestry, or hiking in wooded areas, significantly increase your risk of exposure to the spores.
Recognizing blastomycosis symptoms early
Recognizing blastomycosis symptoms early

Key symptoms of Blastomycosis to watch for

  • Initial symptoms often mimic the flu, including fever, cough, night sweats, muscle aches, and unexplained weight loss, appearing weeks after initial exposure.
  • If the infection spreads from the lungs, it can cause distinct skin lesions that look like warts or ulcers and may appear raised or discolored.
  • In severe cases, the fungus can disseminate to bones and joints, causing intense pain, or even affect the central nervous system, leading to meningitis.

>>> Learn fully at: Shingles Pain Relief: Expert Tips for Managing the Rash

How can you prevent Blastomycosis effectively?

  • While complete prevention is difficult, individuals with weakened immune systems should avoid activities that disturb soil in endemic areas, like excavation or clearing brush.
  • Consider wearing an N95 respirator mask if you must work in high-risk environments where soil and decaying wood are being heavily disturbed or aerosolized.
  • Be aware of the symptoms if you live in or travel to affected regions, as early diagnosis and medical treatment are crucial for a successful recovery.

Real pictures of Blastomycosis

North American Blastomycosis geographical spread
North American Blastomycosis geographical spread
Blastomycosis on skin: visual identification
Blastomycosis on skin: visual identification
Blastomycosis fungi under microscope
Blastomycosis fungi under microscope
Effective blastomycosis treatment options
Effective blastomycosis treatment options
Blastomycosis in humans: understanding the infection
Blastomycosis in humans: understanding the infection
Identifying cutaneous blastomycosis lesions
Identifying cutaneous blastomycosis lesions
Antifungal medications for blastomycosis discussed
Antifungal medications for blastomycosis discussed
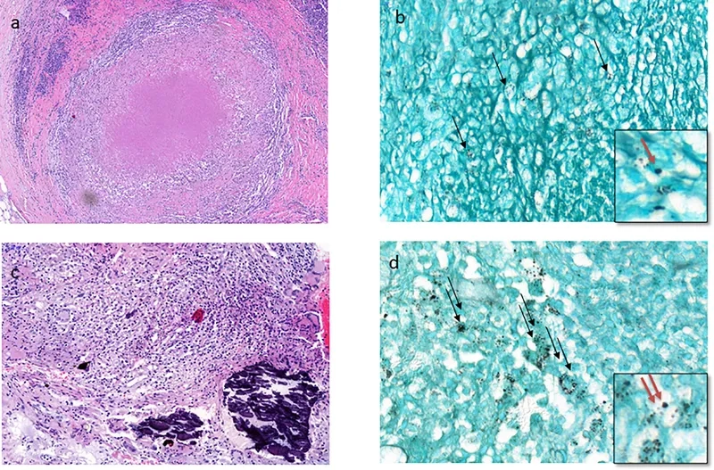
Blastomycosis histology: microscopic findings
Blastomycosis histology: microscopic findings
Blastomycosis cytology for diagnosis
Blastomycosis cytology for diagnosis
Blastomycosis definition and overview
Blastomycosis definition and overview

>>> Understand more about: Pneumonia Types Explained: Know the Signs to Act Fast

Blastomycosis is a manageable condition with prompt medical care. If you suspect exposure or recognize these symptoms, consult a healthcare professional immediately for an accurate diagnosis and expert treatment. Your proactive approach is key to protecting your well-being.

>>> Read to understand more: MERS Virus: Key Facts on Symptoms, Camels, and Your Risk