Doctor Online

Frontotemporal dementia - A comprehensive guide

2026-02-28

Changes in personality or language can be early signs of a serious condition. Don't overlook these symptoms. Understand frontotemporal dementia, a condition recently highlighted by Bruce Willis, and learn how to recognize its unique signs for timely support and care.

What are the main causes of Frontotemporal Dementia?

  • FTD is caused by the progressive loss of nerve cells in the brain's frontal and temporal lobes, the areas that control personality and language.
  • The nerve cell damage is linked to abnormal clumping of specific proteins, like tau or TDP-43, which disrupts normal brain function and leads to cell death.
  • In a significant number of cases, there is a strong genetic component, with specific gene mutations being directly linked to developing the disease.
A diagram explaining what is FTD
A diagram explaining what is FTD

Key symptoms of Frontotemporal Dementia to watch for

  • Significant changes in personality and behavior, such as social inappropriateness, apathy, or impulsivity, are hallmark symptoms of the most common FTD type.
  • Progressive language problems, known as aphasia, can involve difficulty speaking, comprehending speech, or finding the correct words to use in daily conversations.
  • Unlike Alzheimer's, significant memory loss is not typically an early symptom, which is a key differentiator in the FTD vs Alzheimer's diagnostic process.

How can you support brain health effectively?

  • While there is no proven way to prevent FTD, maintaining excellent cardiovascular health through diet and exercise may support overall brain wellness and function.
  • Staying mentally and socially active by learning new skills and engaging with others can help build cognitive reserve and promote long-term brain resilience.
  • Early and accurate diagnosis is the most critical step for managing symptoms, planning for the future, and improving the quality of life.

>>> Update more information: Cerebral palsy - A guide to the types and lifelong management

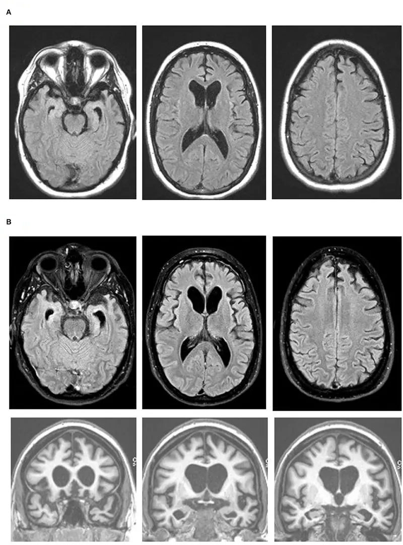
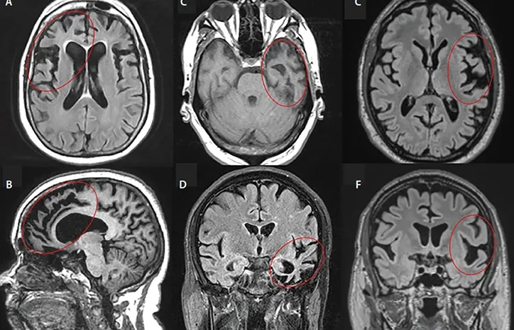
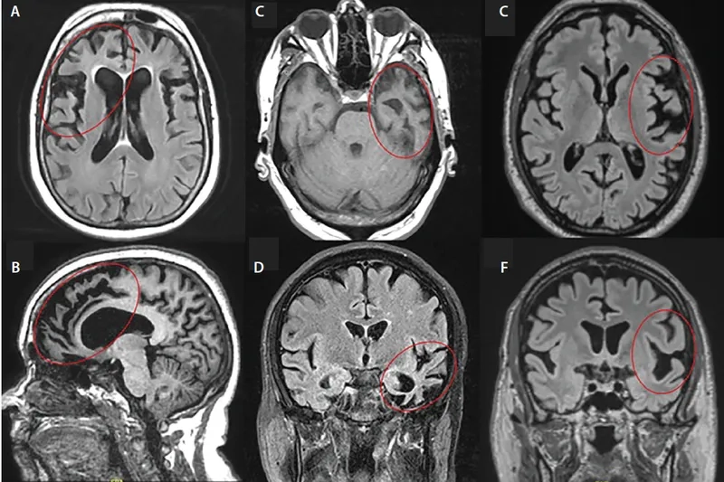
The most searched for Frontotemporal Dementia images

A visual guide to the stages of FTD
A visual guide to the stages of FTD
Key differences between FTD vs Alzheimer's
Key differences between FTD vs Alzheimer's
Understanding the behavioral frontotemporal dementia symptoms
Understanding the behavioral frontotemporal dementia symptoms
Actor Bruce Willis, who has an FTD diagnosis
Actor Bruce Willis, who has an FTD diagnosis
The different types of frontotemporal dementia
The different types of frontotemporal dementia
Understanding the behavioral frontotemporal dementia symptoms
Understanding the behavioral frontotemporal dementia symptoms

>>> See more photos: Spina bifida - Understanding this birth defect of the spine

Recognizing the unique signs of FTD is vital for early intervention and support. If you're concerned about a loved one, seek a specialist's evaluation. Share this guide to increase awareness about this often-misunderstood form of dementia.

>>> Let's learn: Muscular dystrophy - An overview of these genetic muscle diseases