Doctor Online

What causes syringomyelia and how is it diagnosed?

2026-03-06

Experiencing unexplained pain, weakness, or stiffness in your back, shoulders, and arms? These could be subtle signs of a serious spinal cord condition. Don't ignore the symptoms; learn what they could mean for your neurological health.

What are the main causes of Syringomyelia?

  • The most frequent of the causes of syringomyelia is a Chiari malformation, where brain tissue extends into the spinal canal, obstructing fluid flow.
  • Spinal cord injuries, meningitis, tumors, or inflammation can also disrupt the normal circulation of cerebrospinal fluid, leading to cyst formation over time.
  • This blockage forces fluid into the spinal cord, creating a fluid-filled cyst, known as a syrinx, which can expand and damage nerve tissue.
A chart listing common syringomyelia symptoms
A chart listing common syringomyelia symptoms

Key symptoms of Syringomyelia to watch for

  • Key syringomyelia symptoms include progressive muscle weakness and wasting, particularly in the hands, arms, and shoulders, which worsens over the years.
  • Patients often experience a loss of pain and temperature sensation in a "cape-like" distribution across the back and arms, while touch sensation remains.
  • Other common signs are chronic pain, stiffness in the back and neck, headaches, and problems with balance, bladder function, or bowel control.

How can you manage Syringomyelia effectively?

  • Since prevention is not possible, the focus of syringomyelia treatment is on managing symptoms and halting the progression of spinal cord damage.
  • The primary treatment is often syringomyelia surgery to correct the underlying cause, such as a Chiari malformation, and restore normal fluid flow.
  • Regular monitoring with MRI scans is essential to track the size and progression of the syrinx and determine the best timing for surgical intervention.

>>> Add more knowledge: Essential tremor - How it differs from Parkinson's disease

The top Syringomyelia images everyone is searching for

An animated video showing how a syrinx forms
An animated video showing how a syrinx forms
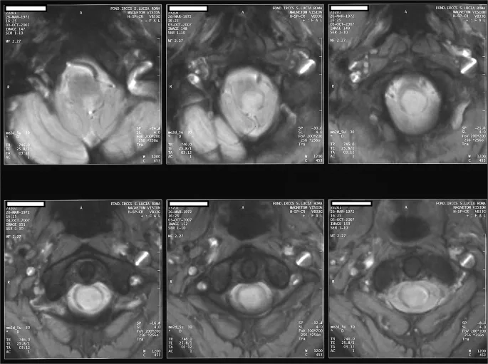
A before-and-after MRI following syringomyelia treatment
A before-and-after MRI following syringomyelia treatment
A patient consultation for syringomyelia symptoms
A patient consultation for syringomyelia symptoms
The characteristic cape-like pattern of sensory loss
The characteristic cape-like pattern of sensory loss
A diagram of a syringomyelia surgery procedure
A diagram of a syringomyelia surgery procedure
An illustration of the main causes of syringomyelia
An illustration of the main causes of syringomyelia

>>> Add more knowledge: Tourette syndrome - Understanding the reality behind the tics

Understanding what is syringomyelia is crucial for early diagnosis and intervention. If you are experiencing progressive neurological symptoms, consult a neurologist or neurosurgeon for a comprehensive evaluation and to discuss your treatment options.

>>> Read to understand more: Narcolepsy - Managing daytime sleepiness and cataplexy