This rare bacterial infection, historically used as a bioweapon, poses a serious threat to both animals and humans. Don't be caught unaware. Understanding Glanders is critical for anyone working with horses or in veterinary medicine. Get the essential facts here.
What are the main causes of Glanders?
- What is Glanders? It is an infectious, zoonotic bacterial disease caused by the bacterium Burkholderia mallei, primarily affecting horses, donkeys, and mules.
- The disease spreads to glanders in humans through direct contact with infected animals' bodily fluids or tissues via cuts or mucous membranes.
- Inhalation of contaminated dust or aerosolized particles from infected animals is another significant, though less common, route of transmission.
Key symptoms of Glanders to watch for
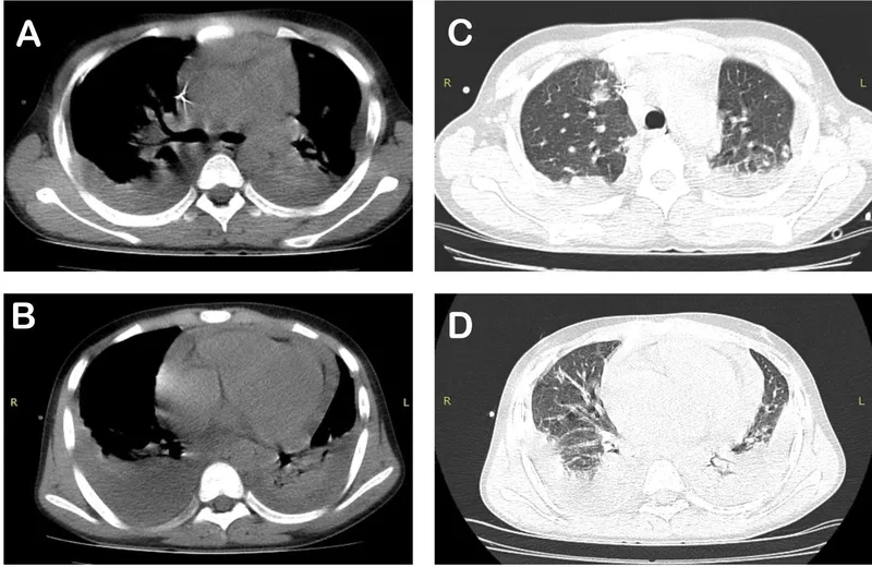
- Glanders disease symptoms vary based on the infection type, including cutaneous glanders (skin nodules), pulmonary glanders (cough), or septicemic glanders (fever).
- In the localized form, individuals may develop ulcers, abscesses, and swollen lymph nodes at the site where the bacteria first entered the body.
- The acute septicemic form is the most dangerous, leading to high fever, chills, and rapid spread of infection throughout the bloodstream.
How can you prevent Glanders effectively?
- The cornerstone of prevention of glanders is the early identification and humane euthanasia of infected animals to eliminate the source of infection.
- Veterinarians and animal handlers must use strict biosecurity measures, including wearing gloves, masks, and protective eyewear when working with suspect animals.
- There is no vaccine; a prompt diagnosis of glanders using tools like the mallein test in horses is vital for containment and effective glanders treatment.
>>> Details at: Fascioliasis - The liver fluke infection from contaminated plants
What the symptoms of Glanders look like
>>> See more: Fournier's gangrene - Recognizing this medical emergency
Glanders is a severe disease with a high fatality rate if left untreated. Its potential as a bioweapon underscores its importance. Anyone with symptoms after exposure to equines in endemic areas should seek immediate medical consultation.
>>> See more: Fusospirochetal disease - Understanding trench mouth