Doctor Online

Lymphangioleiomyomatosis (LAM) - A rare lung disease in women

2025-09-17

Understanding rare lung diseases like LAM is the first step toward effective management. Don't miss this crucial guide on the causes, symptoms, and the latest treatment insights that can help you or a loved one navigate this condition with confidence.

What are the main causes of Lymphangioleiomyomatosis (LAM)?

  • Genetic mutations, particularly in the TSC1 or TSC2 genes, are a primary driver of the disease, leading to abnormal cell growth in the lungs.
  • This condition can occur sporadically or in direct association with a genetic disorder known as tuberous sclerosis complex (TSC), which also involves benign tumors.
  • The hormone estrogen is believed to play a significant role in LAM's progression, which helps explain why the disease almost exclusively affects women.
Medical illustration of LAM disease awareness
Medical illustration of LAM disease awareness

Key symptoms of Lymphangioleiomyomatosis (LAM) to watch for

  • Progressive shortness of breath in women, especially during physical activity or exertion, is the most common and defining of all LAM symptoms.
  • Recurrent collapsed lungs (pneumothorax) and a milky fluid buildup around the lungs (chylothorax) are serious complications that often require immediate medical attention.
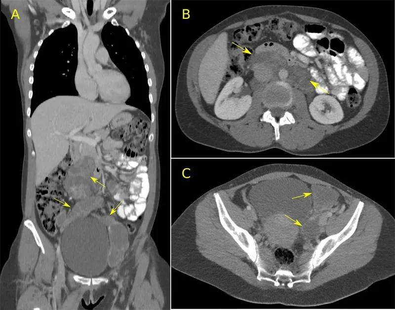
  • Other potential signs include benign kidney tumors (angiomyolipomas), a persistent cough, chest pain, and fatigue, which can impact daily quality of life.

Preventing complications of lymphangioma leiomyoma (LAM)

  • While you cannot prevent LAM itself, early genetic screening and diagnosis are crucial for managing its progression and preventing severe long-term lung damage.
  • The primary LAM lung disease treatment involves medication, with sirolimus being the standard FDA-approved therapy to help stabilize lung function and improve outcomes.
  • Connecting with resources like The LAM Foundation provides vital support, expert information, and access to clinical trials for cutting-edge therapeutic options.

>>> Read more here: Chronic sinusitis - When your sinus infection never leaves

Image of the disease Lymphangioleiomyomatosis 

Tuberous sclerosis complex medical chart
Tuberous sclerosis complex medical chart
Sirolimus medication for lung conditions
Sirolimus medication for lung conditions
List of rare lung diseases for awareness
List of rare lung diseases for awareness
LAM lung disease treatment options shown
LAM lung disease treatment options shown
What is LAM explained in medical context
What is LAM explained in medical context
Early LAM symptoms in affected patients
Early LAM symptoms in affected patients
LAM Foundation support and awareness
LAM Foundation support and awareness
Shortness of breath in women illustration
Shortness of breath in women illustration

>>> See details: Occupational lung diseases - Are you at risk in your workplace?

Navigating a LAM disease diagnosis can be challenging, but knowledge is power. For a definitive diagnosis and a personalized management plan, it is essential to consult a healthcare professional and connect with specialists in rare lung diseases.

>>> Read to understand more: Alpha-1 antitrypsin deficiency - The genetic cause of COPD