Doctor Online

Understanding lymphocytic choriomeningitis (LCM) risks

2025-09-06

Lymphocytic Choriomeningitis (LCM) is a rare viral infection that affects the brain and nervous system. Understanding its causes, symptoms, and prevention can protect your health.

What are the main causes of lymphocytic choriomeningitis (LCM)?

  • LCM is primarily caused by exposure to infected rodents, particularly common house mice, which carry the virus in urine, droppings, and saliva.
  • Human infection can occur through inhalation of virus-contaminated dust or direct contact with rodent excretions.
  • Less commonly, LCM may be transmitted through organ transplantation or blood transfusions from infected donors.

Key symptoms of lymphocytic choriomeningitis (LCM) to watch for

  • Early signs include fever, fatigue, muscle aches, and headaches, often appearing one to two weeks after exposure.
  • Severe cases can progress to neurological symptoms such as meningitis, encephalitis, or confusion.
Prevent house mouse virus spreading in domestic areas
Prevent house mouse virus spreading in domestic areas

>>>Watch now: Understanding herpes simplex encephalitis causes and risk

How can you prevent lymphocytic choriomeningitis (LCM) effectively?

  • Maintain strict rodent control at home, sealing entry points and avoiding contact with wild or pet rodents.
  • Practice proper hygiene, including handwashing after handling rodents, cages, or contaminated surfaces.
  • Ensure proper ventilation and cleaning of areas contaminated by rodent droppings to reduce airborne virus exposure.

>>>Watch now: Understanding Hendra virus infection causes and risks today

Image description of lymphocytic choriomeningitis (LCM)

A microscopic view of the LCM virus shows its rodent-transmitted viral particles, highlighting the source and mode of human infection. The virus primarily targets the nervous system, causing inflammation and fever.

Explore how lymphocytic choriomeningitis virus spreads in rodents
Explore how lymphocytic choriomeningitis virus spreads in rodents
Learn about LCMV infections and early warning symptoms
Learn about LCMV infections and early warning symptoms
Stay safe from rodent-borne virus exposure at home
Stay safe from rodent-borne virus exposure at home
Discover arenavirus types including LCMV affecting humans
Discover arenavirus types including LCMV affecting humans
Understand viral meningitis caused by lymphocytic virus
Understand viral meningitis caused by lymphocytic virus
Learn how congenital LCM impacts newborn brain development
Learn how congenital LCM impacts newborn brain development
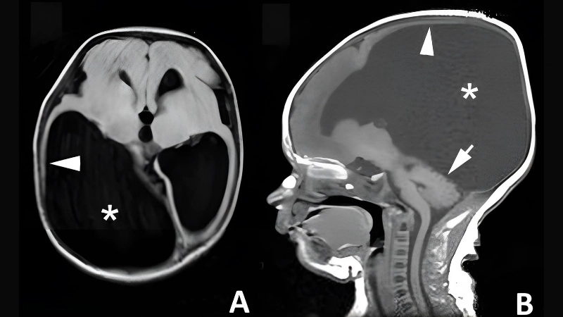
LCMV may lead to hydrocephalus in severe infections
LCMV may lead to hydrocephalus in severe infections
LCMV infection can trigger chorioretinitis in patients
LCMV infection can trigger chorioretinitis in patients

>>>Watch now: Nipah virus encephalitis causes symptoms and prevention

Being aware of Lymphocytic Choriomeningitis (LCM) signs and taking preventive measures is crucial. Early diagnosis and proper care can reduce risks and ensure better health outcomes.