Doctor Online

Nipah virus encephalitis causes symptoms and prevention

2025-09-06

Nipah virus encephalitis is a rare but deadly disease affecting the brain. Early recognition of symptoms and prompt medical care are critical for preventing severe outcomes.

What are the main causes of Nipah Virus Encephalitis?

  • Nipah virus spreads from infected fruit bats to humans through direct contact with contaminated fruits or secretions, causing serious brain inflammation.
  • Human-to-human transmission occurs via close contact with infected individuals’ body fluids, increasing the risk of community outbreaks.
  • Contact with infected animals, such as pigs, can also transmit Nipah virus to humans, especially in rural farming areas.

Key symptoms of Nipah Virus Encephalitis to watch for

  • Early symptoms include fever, headache, and muscle aches, which may progress to drowsiness or confusion within a few days.
  • Severe neurological symptoms such as seizures, disorientation, and loss of consciousness often indicate the onset of encephalitis.
  • Respiratory symptoms like coughing, difficulty breathing, and sore throat may appear, signaling potential complications in severe cases.
Understand Nipah virus encephalitis symptoms early
Understand Nipah virus encephalitis symptoms early

>>>Explore further: Causes of Hand, Foot, Mouth Disease (with CNS complications)

How can you prevent Nipah Virus Encephalitis effectively?

  • Avoid consuming raw or partially eaten fruits that may have been contaminated by bats to reduce the risk of infection.
  • Maintain proper hygiene and protective measures when caring for infected patients, including wearing gloves and masks.
  • Limit contact with sick animals or pigs in outbreak areas and ensure animals are quarantined if symptoms appear.

>>>Explore further: Understanding progressive multifocal leukoencephalopathy

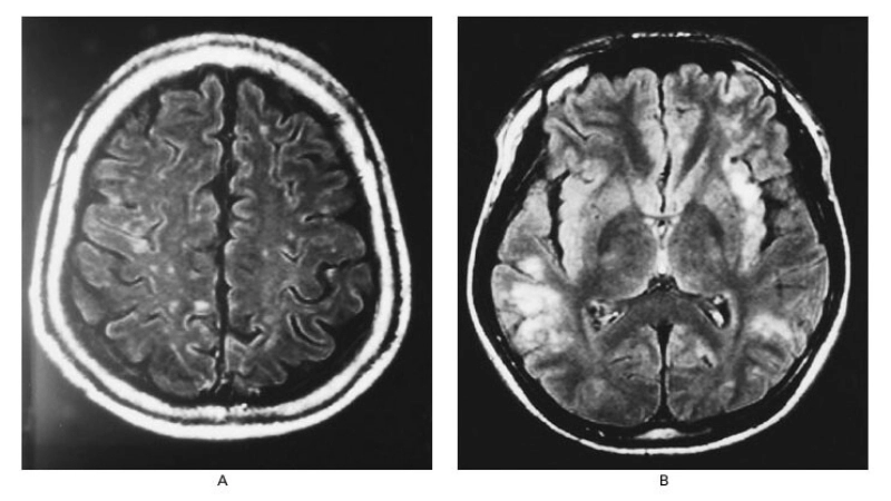
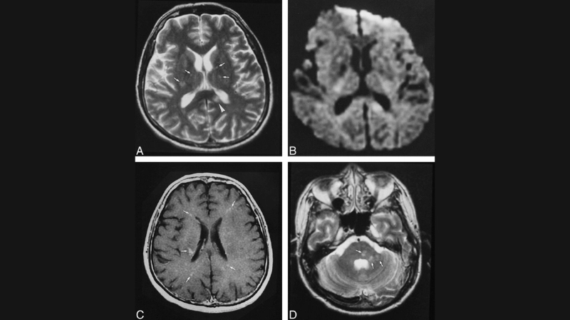
Image description of Nipah Virus Encephalitis

Nipah Virus Encephalitis is a rare but deadly viral infection transmitted from bats or animals to humans. It primarily affects the brain, causing severe neurological and respiratory symptoms. Awareness and prevention are crucial to controlling outbreaks.

Effective Nipah virus encephalitis treatment options
Effective Nipah virus encephalitis treatment options
Accurate Nipah virus encephalitis diagnosis matters
Accurate Nipah virus encephalitis diagnosis matters
Learn Nipah virus encephalitis prevention methods
Learn Nipah virus encephalitis prevention methods
Explore Nipah virus encephalitis causes today
Explore Nipah virus encephalitis causes today
Prevent Nipah virus encephalitis transmission risks
Prevent Nipah virus encephalitis transmission risks
Track Nipah virus encephalitis outbreak updates
Track Nipah virus encephalitis outbreak updates
Nipah virus encephalitis prognosis can vary widely
Nipah virus encephalitis prognosis can vary widely
Nipah virus encephalitis vaccine research advances
Nipah virus encephalitis vaccine research advances

>>>Explore further: Understanding Powassan encephalitis for general health

Awareness and prevention are key to combating Nipah virus encephalitis. Following expert guidance can reduce the risk and protect communities from outbreaks.