Doctor Online

Understanding Powassan encephalitis for general health

2025-09-06

Powassan encephalitis is a rare tick-borne viral infection that can affect the brain. Understanding its symptoms, risks, and prevention is key to protecting yourself and your family.

What are the main causes of Powassan Encephalitis?

  • Powassan Encephalitis is primarily caused by the Powassan virus, which is transmitted to humans through tick bites, especially from infected deer ticks.
  • The risk of infection increases in areas with dense forests where ticks are common and wildlife hosts, such as mice and deer, are abundant.
  • People engaging in outdoor activities like hiking or camping without proper protective measures are more likely to encounter infected ticks.

Key symptoms of Powassan Encephalitis to watch for

  • Fever, headache, and nausea are common early signs of Powassan Encephalitis, indicating that the virus is beginning to affect the nervous system.
  • Neurological symptoms such as confusion, seizures, or difficulty speaking can develop as the disease progresses, requiring urgent medical attention.
  • Muscle weakness, coordination problems, and vision disturbances may occur in severe cases, reflecting significant brain inflammation caused by the virus.
Explore Powassan virus symptoms early detection matters
Explore Powassan virus symptoms early detection matters

>>>Explore further: Tick-borne encephalitis (TBE) symptoms and prevention tips

How can you prevent Powassan Encephalitis effectively?

  • Use insect repellent containing DEET and wear long-sleeved clothing to reduce the risk of tick bites while spending time outdoors.
  • Regularly check for ticks on the body and clothing after outdoor activities, removing them promptly to prevent virus transmission.
  • Maintain yards and outdoor areas by trimming grass and removing leaf litter to minimize tick habitats around homes.

>>>Explore further: Understanding la crosse encephalitis symptoms and risk

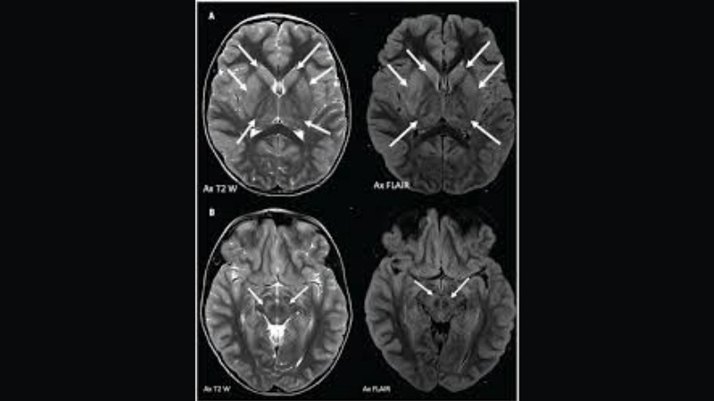
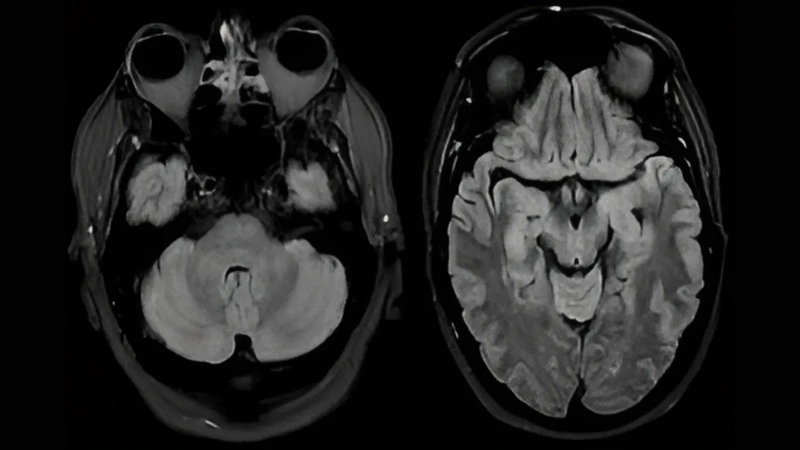
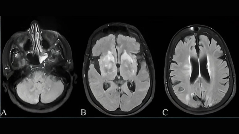
Image description of Powassan Encephalitis

Powassan Encephalitis is a rare, tick-borne viral infection that affects the brain. It can cause fever, headache, and severe neurological complications if left untreated.

Learn safe ways for Powassan virus treatment today
Learn safe ways for Powassan virus treatment today
Updates on Powassan virus vaccine progress worldwide
Updates on Powassan virus vaccine progress worldwide
Understand methods for Powassan virus diagnosis quickly
Understand methods for Powassan virus diagnosis quickly
Tips for Powassan virus prevention protect yourself now
Tips for Powassan virus prevention protect yourself now
Map showing Powassan virus geographical distribution info
Map showing Powassan virus geographical distribution info
Discover Powassan virus life cycle to stay informed
Discover Powassan virus life cycle to stay informed
Official data from Powassan virus CDC for reference
Official data from Powassan virus CDC for reference
Know risks of tick-borne encephalitis stay safe outdoors
Know risks of tick-borne encephalitis stay safe outdoors

>>>Explore further: Venezuelan equine encephalitis symptoms to watch closely

Being aware of Powassan encephalitis and taking preventive measures can reduce the risk of infection. Early detection and proper care improve recovery and long-term health outcomes.