Doctor Online

Understanding Mitral Regurgitation (Insufficiency) symptoms

Mitral Regurgitation (Insufficiency) occurs when the heart valve leaks blood. Recognizing symptoms early and understanding treatments protects heart health.

What are the main causes of mitral regurgitation (Insufficiency)?

  • Rheumatic heart disease damages the mitral valve, leading to scarring and incomplete closure that causes backward blood flow into the left atrium.
  • Mitral valve prolapse occurs when valve leaflets bulge backward, weakening closure and resulting in chronic mitral regurgitation (insufficiency).
  • Heart attack or coronary artery disease damages heart muscle, impairing valve function and contributing to mitral regurgitation progression.
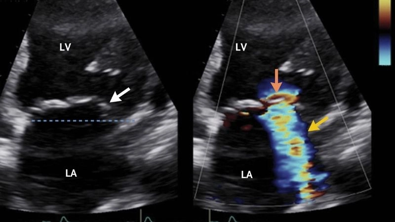
    Mitral Valve Regurgitation causes blood to leak backward
    Mitral Valve Regurgitation causes blood to leak backward

>>> See more: Aortic stenosis symptoms and early warning indicators

Key symptoms of mitral regurgitation (Insufficiency) to watch for

  • Shortness of breath, especially during exertion or when lying flat, due to increased pressure in the left atrium and lungs.
  • Fatigue and weakness, as reduced cardiac efficiency lowers oxygen supply to the body during daily activities or physical exercise.
  • Palpitations or irregular heartbeat, caused by atrial enlargement and increased risk of atrial fibrillation associated with valve insufficiency.

How can you prevent mitral regurgitation (Insufficiency) effectively?

  • Maintain good dental and oral hygiene to prevent infections like endocarditis that can damage the mitral valve and worsen regurgitation risk.
  • Control blood pressure and cholesterol through a healthy diet, regular exercise, and medical follow-ups to reduce strain on the heart and valves.
  • Treat underlying heart conditions promptly with prescribed medications or interventions to prevent progression of mitral regurgitation (insufficiency).
    Mitral Regurgitation Symptoms include fatigue and dyspnea
    Mitral Regurgitation Symptoms include fatigue and dyspnea

>>> See more: Understanding Aortic Regurgitation (Insufficiency) deeply

Images visual examples of mitral regurgitation (Insufficiency)

Mitral regurgitation occurs when the mitral valve does not close properly, allowing blood to leak backward into the left atrium and overloading the heart.

Mitral Valve Repair preserves natural valve function
Mitral Valve Repair preserves natural valve function
Mitral Regurgitation Treatment improves heart performance
Mitral Regurgitation Treatment improves heart performance
Mitral Valve Prolapse common trigger of regurgitation
Mitral Valve Prolapse common trigger of regurgitation
Mitral Regurgitation Surgery restores healthy blood flow
Mitral Regurgitation Surgery restores healthy blood flow
Severe Mitral Regurgitation raises risk of heart failure
Severe Mitral Regurgitation raises risk of heart failure
Functional Mitral Regurgitation linked with ventricular dilation
Functional Mitral Regurgitation linked with ventricular dilation
Causes Of Mitral Regurgitation include prolapse and damage
Causes Of Mitral Regurgitation include prolapse and damage

>>> See more: How Mitral Stenosis affects the heart and treatment ways

Managing Mitral Regurgitation (Insufficiency) requires proper care, treatment, and monitoring. Early detection and lifestyle changes improve heart outcomes.