Doctor Online

Causes and risk factors of Restrictive Cardiomyopathy (RCM)

Restrictive Cardiomyopathy (RCM) is a rare heart disorder that limits the heart’s ability to pump blood, causing symptoms like fatigue and shortness of breath.

What are the main causes of Restrictive Cardiomyopathy (RCM)?

  • Amyloidosis deposits stiffen the heart muscle, limiting relaxation and impairing the ability to fill with blood between contractions.
  • Hemochromatosis causes excess iron buildup, damaging cardiac tissue and reducing the heart’s flexibility over time.
  • Radiation therapy to the chest area can scar the heart muscle, resulting in restricted movement and decreased cardiac function.
    Restrictive cardiomyopathy symptoms early signs of stiff heart
    Restrictive cardiomyopathy symptoms early signs of stiff heart

>>> Understand more about: Early warning Tachycardia-Induced Cardiomyopathy explained

Key symptoms of Restrictive Cardiomyopathy (RCM) to watch for

  • Shortness of breath occurs during exertion or while lying down, reflecting the heart’s inability to pump blood effectively.
  • Swelling in the legs, ankles, or abdomen signals fluid buildup from impaired circulation and reduced heart output.
  • Fatigue and weakness arise from insufficient oxygen supply to tissues, significantly affecting daily physical activity and endurance.

How can you prevent Restrictive Cardiomyopathy (RCM) effectively?

  • Manage chronic conditions like hypertension, diabetes, or iron overload to reduce long-term stress on the heart.
  • Maintain a balanced diet low in sodium and saturated fats to support healthy cardiac function and vascular health.
  • Undergo regular medical checkups with echocardiograms or blood tests to detect early signs and intervene promptly.
    Restrictive cardiomyopathy treatment managing heart function
    Restrictive cardiomyopathy treatment managing heart function

>>> Understand more about: Chemotherapy-Induced Cardiomyopathy diagnosis methods

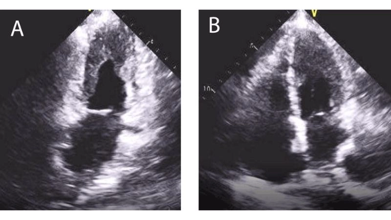
Images visual examples of Restrictive Cardiomyopathy (RCM)

Restrictive Cardiomyopathy (RCM) is a rare heart condition where stiffened heart walls limit blood filling. Images typically show thickened ventricles, atrial enlargement, and reduced relaxation on echocardiography scans.

Restrictive cardiomyopathy causes underlying medical conditions
Restrictive cardiomyopathy causes underlying medical conditions
Restrictive cardiomyopathy vs hypertrophic cardiomyopathy key differences
Restrictive cardiomyopathy vs hypertrophic cardiomyopathy key differences
Restrictive cardiomyopathy life expectancy outlook for patients
Restrictive cardiomyopathy life expectancy outlook for patients
Restrictive cardiomyopathy diagnosis early detection is essential
Restrictive cardiomyopathy diagnosis early detection is essential
Restrictive cardiomyopathy prognosis expected health outcomes
Restrictive cardiomyopathy prognosis expected health outcomes
Idiopathic restrictive cardiomyopathy unknown cause stiff heart
Idiopathic restrictive cardiomyopathy unknown cause stiff heart
Restrictive cardiomyopathy in children rare pediatric heart condition
Restrictive cardiomyopathy in children rare pediatric heart condition

>>> Understand more about: Understanding Danon Disease symptoms and early signs

Early diagnosis and proper management of Restrictive Cardiomyopathy (RCM) are essential to improve quality of life and reduce risks of severe heart complications.