Doctor Online

Rhabdomyoma key signs diagnosis and medical solutions

Rhabdomyoma is a rare benign tumor that primarily affects muscle tissue. Understanding its causes, symptoms, diagnosis, and treatments is vital for health care.

What are the main causes of rhabdomyoma?

  • Genetic mutations play a central role in rhabdomyoma, particularly linked to tuberous sclerosis complex, a condition causing abnormal cell growth in multiple organs.
  • Abnormal embryonic development of muscle tissue may lead to rhabdomyoma, especially in children where tumors often form in the heart.
  • Familial inheritance patterns contribute to rhabdomyoma risk, as individuals with a family history are more susceptible to tumor formation.
    Medical view of rhabdomyoma symptoms clearly shown
    Medical view of rhabdomyoma symptoms clearly shown

>>> See more: Cardiac Myxoma (Heart Tumor) latest research updates

Key symptoms of rhabdomyoma to watch for

  • Heart-related rhabdomyomas often cause arrhythmias, palpitations, or shortness of breath, significantly affecting cardiac function in infants and children.
  • Large tumors may obstruct blood flow, leading to fainting spells, chest pain, or fatigue that worsens with physical exertion.
  • In rare non-cardiac cases, rhabdomyomas in soft tissues can present as painless masses, occasionally interfering with normal movement or organ function.

How can you prevent rhabdomyoma effectively?

  • Genetic counseling is crucial for families with a history of tuberous sclerosis to reduce risk and enable early detection through medical surveillance.
  • Regular prenatal ultrasounds may help identify fetal rhabdomyomas, allowing early monitoring and planning of specialized care after birth.
  • Lifelong follow-up for at-risk individuals ensures timely diagnosis, supportive management, and prevention of complications from tumor progression.
    Clinical approach to rhabdomyoma treatment options
    Clinical approach to rhabdomyoma treatment options

>>> See more: Cardiac sarcoma symptoms causes and effective treatment

Images visual examples of rhabdomyoma

Rhabdomyoma is a rare benign tumor of striated muscle, commonly affecting the heart in children. Images often highlight cardiac masses that disrupt heart rhythm and function.

Detailed look at cardiac rhabdomyoma condition
Detailed look at cardiac rhabdomyoma condition
Strong link rhabdomyoma and tuberous sclerosis
Strong link rhabdomyoma and tuberous sclerosis
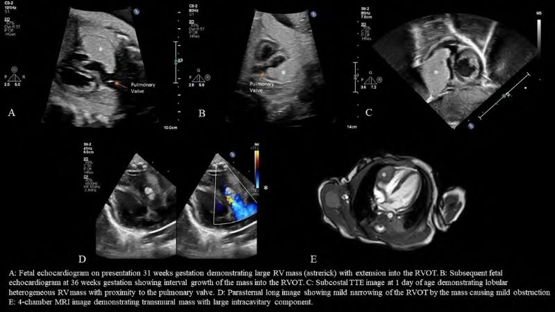
Insightful capture of fetal rhabdomyoma findings
Insightful capture of fetal rhabdomyoma findings
Real cases of rhabdomyoma in children hearts
Real cases of rhabdomyoma in children hearts
Precise image for rhabdomyoma diagnosis clarity
Precise image for rhabdomyoma diagnosis clarity
Fascinating process of rhabdomyoma regression
Fascinating process of rhabdomyoma regression
Complex procedure of rhabdomyoma surgery noted
Complex procedure of rhabdomyoma surgery noted

>>> See more: Cardiac fibroma symptoms causes and health implications

Rhabdomyoma may be rare, but recognizing its signs and seeking proper diagnosis and treatment ensures better management and improved quality of life.