Doctor Online

Cardiac Myxoma (Heart Tumor) latest research updates

Cardiac Myxoma (Heart Tumor) is the most common primary heart tumor, often silent until severe. Knowing symptoms and treatment is vital for better survival.

What are the main causes of Cardiac Myxoma (Heart Tumor)?

  • Genetic mutations in connective tissue may trigger abnormal cell growth, leading to the development of cardiac myxoma (heart tumor) inside the heart chambers.
  • Inherited genetic syndromes like Carney complex significantly increase the risk of developing cardiac myxoma (heart tumor) at a younger age.
  • Hormonal influences, immune system dysfunction, and cellular abnormalities can also contribute to the formation of a cardiac myxoma (heart tumor).
    Cardiac myxoma symptoms warning signs of heart tumor
    Cardiac myxoma symptoms warning signs of heart tumor

>>> Understand more about: Lyme carditis complications prevention and recovery

Key symptoms of Cardiac Myxoma to watch for

  • Shortness of breath, fainting spells, and chest discomfort occur when the tumor obstructs blood flow in the heart chambers.
  • Irregular heart rhythms and palpitations may develop as the tumor interferes with normal heart conduction pathways.
  • Stroke-like symptoms such as weakness, dizziness, or vision problems appear when tumor fragments break off and block blood vessels.

How can you prevent Cardiac Myxoma (Heart Tumor) effectively?

  • Regular cardiac check-ups with echocardiography help detect cardiac myxoma (heart tumor) early, improving chances for successful treatment.
  • Genetic counseling and testing are beneficial for individuals with a family history of cardiac myxoma (heart tumor) or related syndromes.
  • Maintaining a healthy lifestyle with balanced nutrition, exercise, and management of chronic conditions supports overall heart health.
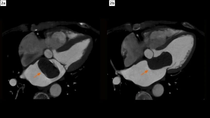
    Left atrial myxoma most common location of cardiac tumor
    Left atrial myxoma most common location of cardiac tumor

>>> Understand more about: Effective management strategies for cardiac sarcoidosis

Images visual examples of Cardiac Myxoma (Heart Tumor)

Cardiac myxoma (heart tumor) is a rare benign tumor usually found in the left atrium of the heart. Visual examples show its mass obstructing blood flow and altering cardiac function.

Cardiac myxoma surgery lifesaving procedure for removal
Cardiac myxoma surgery lifesaving procedure for removal
Heart tumor rare growth affecting cardiac function
Heart tumor rare growth affecting cardiac function
Myxoma diagnosis accurate detection of benign heart mass
Myxoma diagnosis accurate detection of benign heart mass
Atrial myxoma abnormal growth inside upper heart chamber
Atrial myxoma abnormal growth inside upper heart chamber
Cardiac myxoma causes underlying factors of tumor formation
Cardiac myxoma causes underlying factors of tumor formation
Cardiac myxoma recovery healing process after surgery
Cardiac myxoma recovery healing process after surgery
Myxoma vs thrombus differences between tumor and clot
Myxoma vs thrombus differences between tumor and clot

>>> Understand more about: Symptoms of eosinophilic myocarditis and complications

Cardiac Myxoma (Heart Tumor) demands early detection and treatment to avoid life-threatening complications. Awareness ensures stronger long-term heart health.