Doctor Online

Transposition of the Great Arteries (TGA) long term outlook

Transposition of the Great Arteries (TGA) is a serious congenital heart condition where major arteries are reversed. Explore causes, symptoms, and treatments.

What are the main causes of transposition of the great arteries (TGA)?

  • Genetic mutations during fetal development may disrupt heart formation, causing the pulmonary artery and aorta to switch places abnormally.
  • A family history of congenital heart disease significantly raises the risk of developing TGA in newborns.
  • Maternal factors such as diabetes, infections, or alcohol consumption during pregnancy can contribute to TGA development.
    Transposition of the great arteries symptoms early cyanosis in babies
    Transposition of the great arteries symptoms early cyanosis in babies

>>> See more: Patent Ductus Arteriosus (PDA) causes and prevention

Key symptoms of transposition of the great arteries (TGA) to watch for

  • Severe cyanosis, or bluish skin discoloration, appears in newborns due to circulation of poorly oxygenated blood.
  • Difficulty breathing, including rapid or labored breathing, indicates insufficient oxygen supply caused by TGA.
  • Poor feeding and slow weight gain suggest the infant’s heart is failing to deliver adequate oxygen.

How can you prevent transposition of the great arteries (TGA) effectively?

  • Genetic counseling before conception can help families identify risks and plan pregnancies responsibly.
  • Good prenatal care with controlled maternal diabetes and avoiding alcohol reduces the likelihood of TGA.
  • Prenatal imaging, including ultrasound and fetal echocardiography, detects TGA early for timely treatment.
    Transposition of the great arteries causes heart development issues
    Transposition of the great arteries causes heart development issues

>>> See more: Key facts about Patent Foramen Ovale (PFO) condition

Images visual examples of transposition of the great arteries (TGA)

Transposition of the great arteries (TGA) is a congenital defect where the pulmonary artery and aorta switch positions, blocking normal oxygenation. Visual images highlight how this heart malformation develops.

Transposition of the great arteries treatment options for survival
Transposition of the great arteries treatment options for survival
Transposition of the great arteries surgery correcting blood flow
Transposition of the great arteries surgery correcting blood flow
Living with transposition of the great arteries long term heart care
Living with transposition of the great arteries long term heart care
Dextro transposition of the great arteries serious congenital defect
Dextro transposition of the great arteries serious congenital defect
Transposition of the great arteries in adults rare late diagnosis
Transposition of the great arteries in adults rare late diagnosis
Transposition of the great arteries in infants common early finding
Transposition of the great arteries in infants common early finding
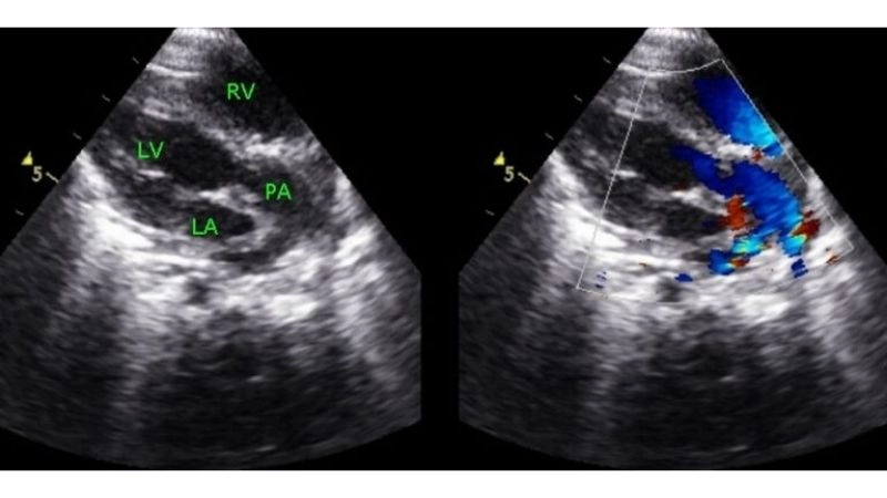
Transposition of the great arteries echo key tool for diagnosis
Transposition of the great arteries echo key tool for diagnosis

>>> See more: Patent Tetralogy of Fallot diagnosis and latest care options

Understanding Transposition of the Great Arteries (TGA) is key to early detection and care. Learn about survival, management, and long term health outcomes.