Doctor Online

Arrhythmogenic Right Ventricular Cardiomyopathy (ARVC)

Arrhythmogenic Right Ventricular Cardiomyopathy (ARVC) affects the heart’s rhythm and structure. Discover key signs, causes, and treatment options to stay informed.

What are the main causes of Arrhythmogenic Right Ventricular Cardiomyopathy (ARVC)?

  • Genetic mutations in desmosomal proteins weaken the heart’s structure, leading to progressive right ventricular dysfunction and abnormal electrical signaling.
  • Family history of ARVC significantly raises risk, highlighting the strong hereditary influence of this rare but dangerous cardiac disorder.
  • Inflammatory responses and fibrosis replace healthy heart tissue with scar and fat, disrupting rhythm and causing dangerous arrhythmias.
    ARVC symptoms include palpitations and fainting
    ARVC symptoms include palpitations and fainting

>>> See more: Understanding Endocarditis (leading to valve damage) risks

Key symptoms of Arrhythmogenic Right Ventricular Cardiomyopathy (ARVC) to watch for

  • Palpitations and irregular heartbeats often occur during exercise, signaling abnormal electrical activity within the right ventricle.
  • Episodes of fainting or dizziness result from reduced blood flow to the brain due to severe arrhythmias.
  • Sudden cardiac arrest may develop in advanced stages, especially in young athletes during physical exertion. 

How can you prevent Arrhythmogenic Right Ventricular Cardiomyopathy (ARVC) effectively?

  • Genetic screening for at-risk individuals helps identify ARVC early and enables timely medical intervention.
  • Regular cardiac monitoring detects rhythm abnormalities before they escalate into life-threatening complications.
  • Avoiding intense exercise lowers stress on the right ventricle, reducing risk of dangerous arrhythmias and sudden cardiac death.
    Arrhythmogenic Right Ventricular Cardiomyopathy treatment uses meds, ICD, or ablation
    Arrhythmogenic Right Ventricular Cardiomyopathy treatment uses meds, ICD, or ablation

>>> See more: Symptoms and warning signs of dilated cardiomyopathy (DCM)

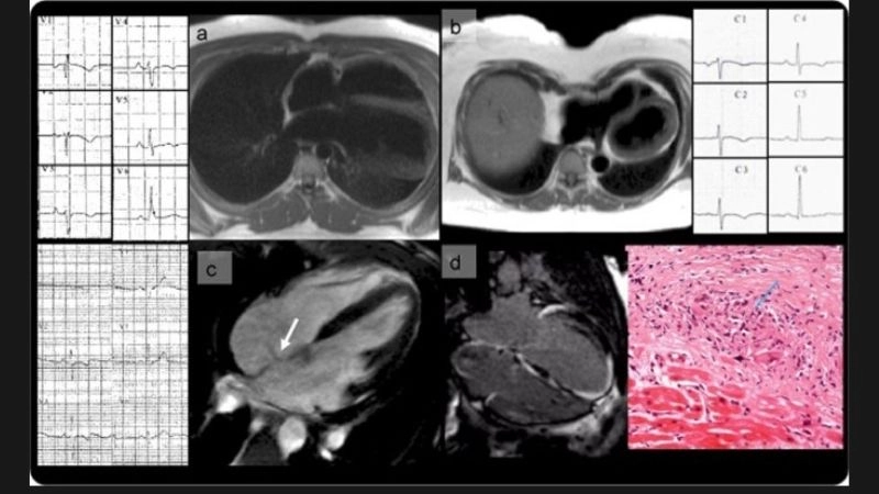
Images visual examples of Arrhythmogenic Right Ventricular Cardiomyopathy (ARVC)

Visual examples often show scarring and structural changes in the heart wall, helping illustrate how the condition disrupts both pumping function and electrical signaling.

Arrhythmogenic Right Ventricular Cardiomyopathy diagnosis uses ECG, MRI, and genetics
Arrhythmogenic Right Ventricular Cardiomyopathy diagnosis uses ECG, MRI, and genetics
ARVC genetics often involve mutations in desmosomal proteins
ARVC genetics often involve mutations in desmosomal proteins
Arrhythmogenic Right Ventricular Cardiomyopathy and exercise can trigger dangerous rhythms
Arrhythmogenic Right Ventricular Cardiomyopathy and exercise can trigger dangerous rhythms
Arrhythmogenic Right Ventricular Cardiomyopathy ICD prevents sudden cardiac death
Arrhythmogenic Right Ventricular Cardiomyopathy ICD prevents sudden cardiac death
ARVC patient stories show daily struggles
ARVC patient stories show daily struggles
ARVC sudden death is a major concern
ARVC sudden death is a major concern
ARVC research explores new treatments
ARVC research explores new treatments

>>> See more: Symptoms and diagnosis of Hypertrophic Cardiomyopathy (HCM)

Managing Arrhythmogenic Right Ventricular Cardiomyopathy (ARVC) requires awareness of symptoms, timely diagnosis, and proper treatment to maintain heart health.