Doctor Online

Living With Left Ventricular Non-compaction Cardiomyopathy

Left Ventricular Non-compaction Cardiomyopathy is a rare heart condition. Learn its key symptoms, causes, diagnosis steps, and treatment options today.

What are the main causes of Left Ventricular Non-compaction Cardiomyopathy?

  • The condition often develops due to genetic mutations affecting heart muscle development during the embryonic stage, leading to abnormal heart structure.
  • Family history of cardiomyopathy significantly increases the risk, especially if close relatives have documented cardiac abnormalities or sudden cardiac death.
  • Certain acquired factors, including long-term heart stress or other cardiac diseases, may contribute to progression or worsening of the condition.
    LVNC symptoms include fatigue and palpitations
    LVNC symptoms include fatigue and palpitations

>>> Understand more about: Symptoms and warning signs of dilated cardiomyopathy (DCM)

Key symptoms of Left Ventricular Non-compaction Cardiomyopathy to watch for

  • Patients may experience persistent shortness of breath, especially during physical activity, as the weakened heart struggles to pump blood efficiently.
  • Irregular heartbeat or palpitations are common, caused by abnormal electrical signals traveling through the non-compacted heart muscle.
  • Severe cases can present with fainting, chest pain, or heart failure symptoms that require urgent medical evaluation and treatment.

How can you prevent Left Ventricular Non-compaction Cardiomyopathy effectively?

  • Genetic counseling and testing can help families identify risks early and guide preventive monitoring for those with a family history.
  • Maintaining heart health through exercise, balanced diet, and regular check-ups may reduce complications, even if prevention of onset is limited.
  • Early diagnosis and consistent medical follow-up significantly lower risks by ensuring timely treatment, medication adjustments, and lifestyle management.
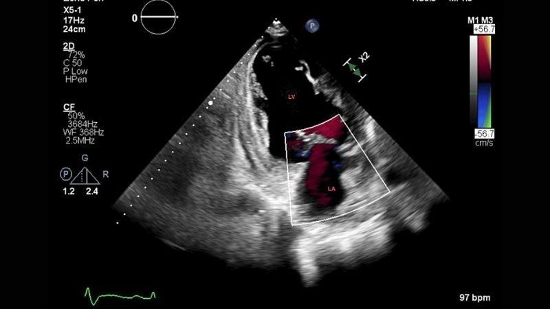
    Left Ventricular Non-Compaction Cardiomyopathy diagnosis confirmed with echo and MRI
    Left Ventricular Non-Compaction Cardiomyopathy diagnosis confirmed with echo and MRI

>>> Understand more about: Symptoms and diagnosis of Hypertrophic Cardiomyopathy (HCM)

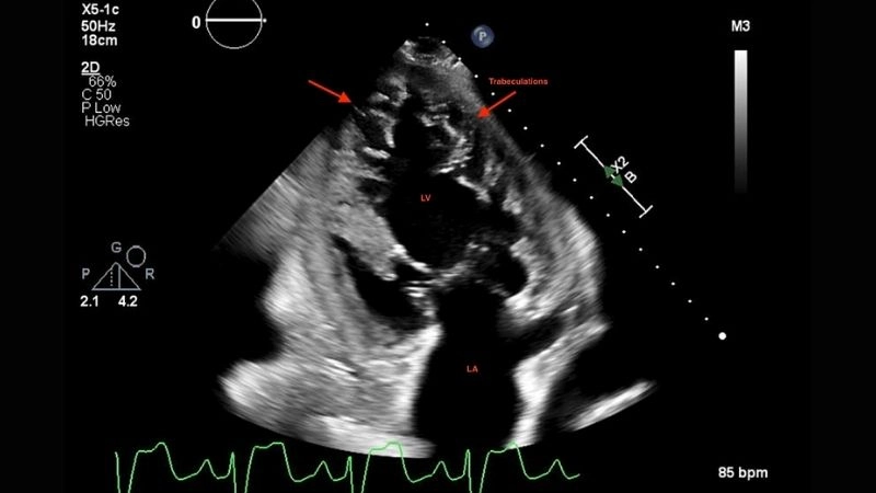
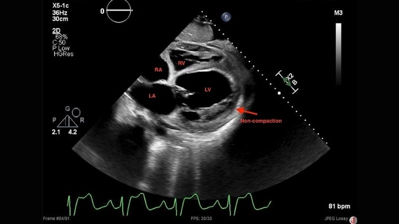
Images visual examples of Left Ventricular Non-compaction Cardiomyopathy

This abnormal structure weakens heart function, disrupts blood circulation, and can lead to life-threatening complications if not diagnosed early.

Left Ventricular Non-Compaction Cardiomyopathy treatment includes meds and surgery
Left Ventricular Non-Compaction Cardiomyopathy treatment includes meds and surgery
Causes of Left Ventricular Non-Compaction often linked to gene mutations
Causes of Left Ventricular Non-Compaction often linked to gene mutations
Left Ventricular Non-Compaction in children may lead to heart failure
Left Ventricular Non-Compaction in children may lead to heart failure
Spongy myocardium heart condition also means Left Ventricular Non-Compaction
Spongy myocardium heart condition also means Left Ventricular Non-Compaction
Left Ventricular Non-Compaction and heart failure often progress together
Left Ventricular Non-Compaction and heart failure often progress together
Left Ventricular Non-Compaction genetic testing guides family screening
Left Ventricular Non-Compaction genetic testing guides family screening
Left Ventricular Non-Compaction and arrhythmia raise sudden death risk
Left Ventricular Non-Compaction and arrhythmia raise sudden death risk
Left Ventricular Non-Compaction patient stories share real experiences
Left Ventricular Non-Compaction patient stories share real experiences

>>> Understand more about: Arrhythmogenic Right Ventricular Cardiomyopathy (ARVC)

Understanding Left Ventricular Non-compaction Cardiomyopathy helps patients recognize symptoms early, follow treatments properly, and manage health better.