Doctor Online

Protecting your community from st. louis encephalitis outbreaks

Mosquito bites can be more than just an annoyance. Don't underestimate the risk of viral diseases when traveling. Understanding the facts about St. Louis encephalitis is crucial for protecting yourself from this potentially severe infection found primarily in the Americas.

What are the main causes of St. Louis Encephalitis?

  • The disease is caused by the St. Louis encephalitis virus (SLEV), an arbovirus that is primarily maintained in a cycle between birds and mosquitoes.
  • SLEV transmission to humans occurs through the bite of an infected Culex species mosquito; humans are considered dead-end hosts and cannot spread the virus.
  • It is a form of mosquito-borne encephalitis, an inflammation of the brain transmitted by an insect vector rather than through person-to-person contact.
Recognizing St. Louis encephalitis symptoms early
Recognizing St. Louis encephalitis symptoms early

Key symptoms of St. Louis Encephalitis to watch for

  • While most infections are mild, initial St. Louis encephalitis symptoms can include the sudden onset of fever, headache, nausea, and general tiredness.
  • In rare cases, it can develop into severe neuroinvasive disease, leading to stiff neck, disorientation, tremors, convulsions, and even coma.
  • Older adults are at a significantly higher risk for developing severe symptoms of encephalitis, which can result in long-term neurological problems.

How can you prevent St. Louis Encephalitis effectively?

  • The most crucial step is the prevention of mosquito bites by using an EPA-registered insect repellent and wearing protective long-sleeved clothing.
  • Implement effective mosquito control around your home by eliminating sources of standing water in items like buckets, tires, and clogged gutters.
  • Try to limit outdoor activities during peak mosquito hours, which are typically from dusk until dawn, especially in areas with known virus circulation.

>>> See more: Crimean-congo hemorrhagic fever - A widespread and deadly virus

Image of the disease St. Louis Encephalitis

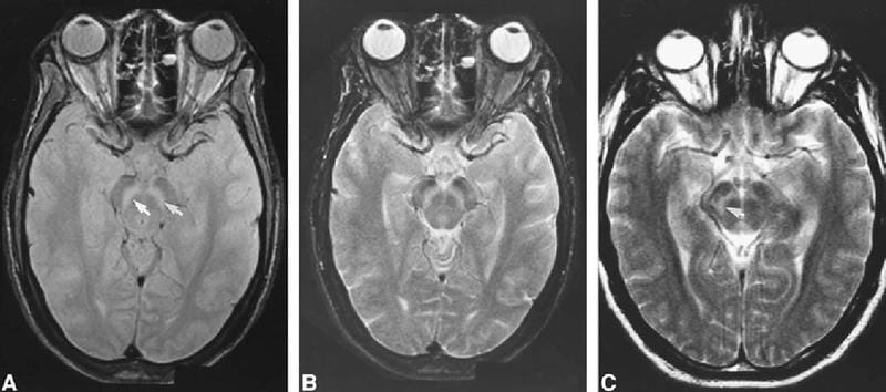
Key steps in the diagnosis of St. Louis encephalitis
Key steps in the diagnosis of St. Louis encephalitis
The cycle of SLEV transmission from mosquito to human
The cycle of SLEV transmission from mosquito to human
The risk of mosquito-borne encephalitis in endemic areas
The risk of mosquito-borne encephalitis in endemic areas

>>> Read more here: Eastern equine encephalitis - A rare but severe mosquito-borne virus

There is no specific treatment for St. Louis encephalitis; care is focused on supportive care for encephalitis to manage symptoms. A definitive diagnosis of St. Louis encephalitis often requires a CSF test for encephalitis. If you develop symptoms after visiting an endemic area, seek medical help immediately.

>>> Learn now: Heartland virus disease - An emerging illness from the lone star tick